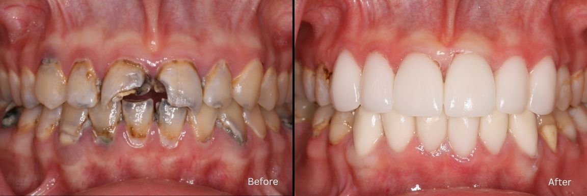
In our Smile Gallery, you’ll find real results from patients who trusted our team to improve the look and function of their teeth.
Explore the gallery below to see what modern dentistry can achieve.
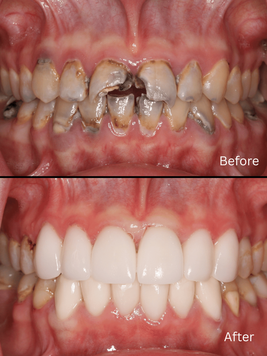
In our Smile Gallery, you’ll find real results from patients who trusted our team to improve the look and function of their teeth.
Explore the gallery below to see what modern dentistry can achieve.